CABINET DENTAIRE REPUBLIQUE AU BLANC MESNIL
Docteur Alima Samaké Liard
75 Avenue de la République, 93150 LE BLANC MESNIL

+33 1 48 60 15 03

+33 1 48 60 50 85
CABINET DENTAIRE REPUBLIQUE AU BLANC MESNIL
Docteur Alima Samaké Liard

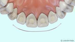
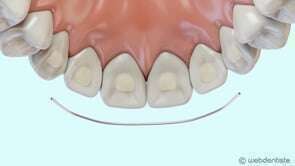
Fil de contention


video-play-icon

Création par Webdentiste

Connexion