Blog
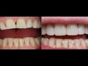
La couronne sur implant recouvre le pilier d'un implant dentaire, comme sur une dent naturelle, afin d’en restaurer l'esthétique et la fonction
Après la pose du pilier en titane de l'implant, une vis de couverture est placée temporairement puis remplacée par la prothèse définitive
Comment notre super héros va-t-il combattre les bactéries qui s'infiltrent dans les sillons ?
Invisalign® est un traitement orthodontique basé sur le port successif d’une série de gouttières transparentes en plastique, fabriquées à partir des empreintes dentaires du patient.
Découvrez notre collection de fiches pédagogiques





